증권 >

강스템바이오텍, 피부 오가노이드 아토피 모델 제작기술 특허 등록

강스템바이오텍, 피부 오가노이드 아토피 모델 제작기술 특허 등록
강스템바이오텍 제공


[파이낸셜뉴스] 강스템바이오텍은 4일 피부 오가노이드 기반 아토피 피부염 모델 제작 기술에 대한 특허 등록을 마쳤다고 밝혔다. 해당 특허는 서울대학교 수의과대학 강경선 교수 연구팀과의 공동 연구 결과로, 만능성 줄기세포 유래 편평 피부 오가노이드 제작 기술과 이를 활용한 아토피 피부염 모델 제작 방법에 관한 것이다.

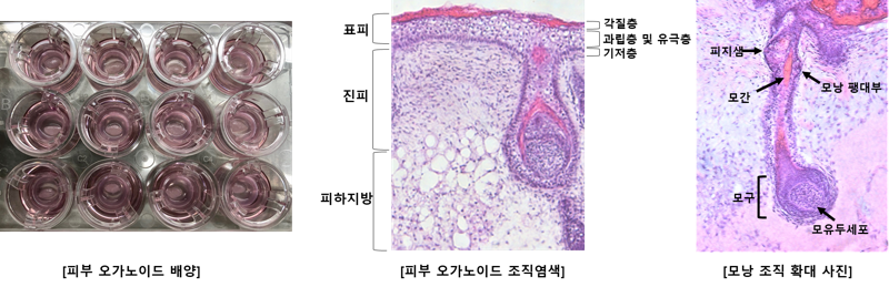
본 기술을 활용한 강스템바이오텍의 피부 오가노이드는 실제 피부와 동일한 편평한 형태로 제작돼 기존 오가오이드에서 뚜렷하게 확인할 수 없던 세부 피부층(각질층, 과립층 등)을 구현했다. 특히 기존 구(球) 형태에서는 불가능했던 피부에 바르는 물질의 효과를 확인할 수 있는 경피(표피층) 투여나 정맥 투여 등의 경로를 모사해 다양한 유효물질에 대한 스크리닝이 가능하다는 점이 가장 큰 특징이다. 또 회사 측은 "피부 오가노이드에 아토피 피부염 특징을 모사한 모델을 구현하고 후보물질에 대한 효능을 평가할 수 있는 것을 확인했다"고 설명했다.

강스템바이오텍 이승희 연구소장은 “최근 유럽을 필두로 화장품 개발 관련 동물실험 전면금지에 이어 동물실험 없이도 의약품 개발이 가능하도록 하는 미국 식품의약국(FDA)의 현대화법 2.0 발표까지, 동물대체시험법 개발과 관련한 첨단기술 연구개발 및 정부 차원 지원이 활발히 이뤄지고 있다”며 “당사의 피부 오가노이드 모델은 원천기술을 기반으로 실제 인체피부 높은 유사성을 보여 동물실험에서 발생하는 윤리적 문제와 이종간 차이로 인한 기술적인 문제를 동시에 극복할 수 있다"고 말했다.

이 연구소장은 이어 "미국의 글로벌 제약사와 동물대체시험 사업화를 위한 논의도 진행 중에 있다”고 덧붙였다.

강스템바이오텍은 이번 특허를 활용해 피부 오가노이드 플랫폼 기반 유효성 평가 서비스에 박차를 가하고 있다.
이미 LG전자와의 협업을 통해 피부 오가노이드를 활용한 의료기기 효능평가를 진행한 바 있으며, 질환모델링 및 표준화 작업을 통해 아토피 피부염은 물론 특정 질환에 대한 효능평가 사업 영역을 확장해나갈 계획이다. 또한 미백, 재생, 항노화 등에 대한 유효물질 평가 서비스 사업화도 순차적으로 추진할 예정이다.

한편, 동물실험 대체 플랫폼으로써 오가노이드가 각광받으면서 글로벌 빅파마 머크가 네덜란드 오가노이드 기업을 인수하는 등 글로벌 제약사의 오가노이드에 대한 관심과 투자가 증가하고 있다.

dschoi@fnnews.com 최두선 기자